Gülüş
Aslında bir yetenektir kişinin duygularını ve ruh halini her şeyden önemlisi ruh halini yansıtır. Yapmacık, içten samimi gayrı samimi olabilir ve gerçekten içten gelerek yapılabilir ya da sadece yapmış olmak için yapılır. Güzel bir gülüş karşı tarafta muazzam etkiler bırakır, kendine güvene yansıtır.
O yüzden bu kadar önemli olan gülüş konusuna bu yazımızda diş ve diş etleri yani bir diş hekiminin müdahale edebileceği yönlerine değineceğiz. Elbette güzel bir gülüşü etkileyen diş ve diş etleri haricinde birçok farklı unsur var, yüz ve hatta boyun kasları kasları, dudak çevresi kasların kalınlığı ve gerginliği, cilt yapısı, sinirsel dağılım, yaş, ağız genişliği gibi gibi tabi herşeyden öte güzel bir gülüş için kişinin gülmek istemesi gerekli. O yüzden herkesin gülmek istemesi ve gülmesi dileğiyle.
Güzel olmak isteği ve bunun yollarını arama tarihin ilk zamanlarına kadar gider. İlk çağlarda insanlar çirkin ve kaybedilmiş dişlerin yerlerini hayvan kemiklerinden oyulma dişlerler ile tamamlaya çalışmışlar, sonraları çeşitli madenler kullanmışlar gibi bu arayışlar 18.yy kadar devam etmiş artık bu çağda yavaş yavaş diş hekimliği tabi estetik diş hekimliği de ayrı bir tıp disiplini olarak görülmeye başladı. Pierre Fauchard (1678?1761) birkaç meslektaşı ile birlikte diş hekimliğini modernize etmiş, desteklemiş ve ayrıca estetik uygulamaları savunmuştur. Başta da bahsettiğimiz gibi Ankara ortodonti ve Estetik diş hekimliği uygulamaları yapan bir ekip olarak bu yazımızda gülümseme ve gülüş tasarım sanatının çeşitli ilkeleri gözden geçireceğiz.
Gülüş Tasarımının Amacı Nedir?
Gülüş estetiğinin ve estetik bir makyajının amacı hem ilgi çeken çekici bir gülüş sağlamak hem de içinde dişlerin, ağız çevresi dokuların, kasların, iskeletsel yapının, eklemlerin bulunduğu bir uyum harmoni yakalamaktır. Diş ve pembe estetik dediğimiz vakaların tedavi planlamasında gülüş tasarımın hastanı ağız bakımı ve kontrolünden izole edilmemesi çok önemlidir. Hem hasta hem hekimin tatminini sağlayacak bir sonucun elde edilmesi sadece dişler değil kaslar, kemikler, eklemler, diş eti dokuları ve alt ve üst çenenin oklüzyonu dahil olmak üzere tüm destekleyici ağız çevresi yapılar arasındaki ilişkinin anlaşılmasını gerektirir.
Estetik Bir Gülüşün Bileşenleri
Estetik bir gülümsemeyi sağlamak, yüz kompozisyonunun ve diş kompozisyonunun mükemmel bir entegrasyonunu gerektirir. Yüz bileşimi, yüzün sert ve yumuşak dokularını içerir. Diş bileşimi daha spesifik olarak dişlerle ve diş eti dokularıyla ilişkileriyle ilgilidir. Bir gülümseme tasarımı her zaman hem yüz hem de diş kompozisyonunun değerlendirmesini ve analizini içermelidir
Yüz Kompozisyonu

Yüz güzelliği, uygun hizalamayı, simetriyi ve yüz oranını içeren standart estetik ilkelere dayanır. Yüz estetiği için analiz, değerlendirme ve tedavi planlaması genellikle ortodonti, çene cerrahisi, periodontoloji, kozmetik diş hekimliği ve plastik cerrahi gibi çok disiplinli bir yaklaşımı içerir. Bu şekilde multidisipliner ve baştan ciddi bir yaklaşım estetik diş tedavisinde en iyi diş ve dolayısıyla yüz güzelliğine etkiyi yaratır. Gülüş tasarımında büyük rol oynayan iki yüz özelliği vardır. Interpupiller çizgi( gözbebekleri arası) ve dudaklar.
Interpupiller Çizgi
Bu hat yüzün orta çizgisine dik ve okluzal düzleme paralel olmalıdır.
Dudaklar
Dudaklar, gülümseme tasarımının sınırlarını yarattıkları için özellikle önemlidir. Yukarıda belirtilen iki faktörde büyük tutarsızlıklar yaşarsak, diş kompozisyonunun düzeltilmesine girmeden önce yüz kompozisyonunun düzeltilmesini ciddiye almamız gerekir. Çünkü sadece diş ve pembe estetik ile istediğimiz sonucu almamız mümkün olmayabilir.
Gülüş estetiğinde yüz şekli çok önemlidir. Gülüş estetiği yapan biz diş hekimlerini ( Dr.Enver Akın Özkan Ankara ortodonti , gülüş tasarımı) daha çok ilgilendiren gülüş tasarımının dişsel boyutuna geçmeden burada kısaca seçeceğimiz diş şeklini etkileyen yüzden bahsetmek istiyorum.
Yüzün önden bakıldığında en temel şekli :
1. Kare
2. Konik
3. Ovoid
Yandan bakıldığında ise yüzümüz, aşağıdakilerden herhangi biri olabilir:
1. Düz
2. Konveks
3. Konkav
Bu faktörler diş boyutunun, şeklinin ve yanal profilin belirlenmesinde ciddi rol alır; Kısacası, yukarda değindiğim gibi gülüş tasarımı yaparken diş morfolojisi yüz morfolojisine bağlıdır. Örneğin yuvarlak yüz hatlarına sahip birine köşeli keskin geçişli bir diş tasarımı yaparsak istediğimiz gülüş etkisini sağlayamayız.
Gülüş tasarımının hayati unsurları (diş kompozisyonu)
Gülümseme tasarımının hayati unsurları aşağıdakileri içerir:
1. Diş bileşenleri
a. Dişsel orta hat
b. Kesici kenar uzunlukları
c. Diş boyutları
d. Zenith noktaları
e. Eksen eğimi
f. Dişlerin birbirleriyle temas alanı (ICA) ve noktası (ICP)
g. Cinsiyet, kişilik ve yaş
h. Simetri ve denge
2. Yumuşak doku bileşenleri
a. Dişeti sağlığı
b. Dişeti düzeyleri ve uyumu
c. İnterdental embrasure
d. Gülüş çizgisi
Yukarıda belirtilen faktörlerin her birinin gülümseme tasarımındaki rolü aşağıda verilmiştir.
Gülüş Tasarımının Diş Bileşenleri
a.Dişsel orta hat

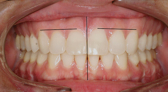
Orta hat üst çene ön büyük ( santral kesiciler) arasındaki vertical kontağı ifade eder. Yüzün orta hattına paralel olmalı çakışmalı ve kesici düzlemine dik olmalıdır.Gülüş tasarımında ve estetiğinde çok önemli bir rol oynar. Bembeyaz , çapraşıksız dişlere sahip bir örnekte üst orta hat kayıksa çekici ve güzel bir gülüş yakalamak mümkün değildir. Benim gülüş tasarımcısı ve estetik diş hekimi olarak ( Dr.Enver Akın Özkan) bu işte en önem verdiğim konulardan biridir. Alt orta hat ya da üst ile alt orta hattın çakışması ihmal edilebilir ama üst orta hat 1.5 mm den fazla kayıksa düzeltmek için her şey yapılmalıdır. İzin verilen maksimum tutarsızlık 1.5 olabilir ama bazen bundan fazla tutarsızlık, interupiller çizgiye dik olduğu sürece estetik olarak kabul edilebilir. Bunu yüz estetiği ile birlikte değerlendirmek gereklidir. Burun orta çizgisi, alın, çene, philtrum, interupiller düzlem gibi çeşitli anatomik işaretler orta çizgi değerlendirmesine kılavuz olarak kullanılabilir.
Dudaktaki philtrum, Cerrahi, kaza veya yarık vakaları dışında her zaman yüzün merkezindedir. Philtrum'un merkezi, cupids yayının merkezidir ve merkezler arasındaki papillaya uymalıdır. Eğer bu iki yapı eşleşiyorsa ve orta hat yanlışsa, sorun genellikle incisal eğimdedir. Papilla ve philturm eşleşmiyorsa, sorun gerçek bir orta hat sapmasıdır. Papillayı ikiye bölmeyen bir orta hat, philturm'u ikiye bölmeyenden daha belirgindir.

Sonuçta orta hat;
a. yüzün uzun eksenine paralel paralel olmalıdır;
b. insizal düzleme dik olmalıdır
c. papilla ile uyumlu olmalıdır
Yukarıda da biraz bahsettiğim gibi. Üst çene ve alt çene orta hatlar vakaların% 75'inde çakışmaz. Bu nedenle, üst çeneorta çizgiyi oluşturmak için alt çene orta çizgiyi referans noktası olarak kullanmanız önerilmez. Maksiller ve mandibular orta hat arasındaki uyumsuzluk, gülüş estetiğini far edilebilir derecede etkilemez çünkü alt çene dişleri genellikle gülümseyenken görünür değildir.
b. Kesici kenar uzunlukları
Üst kesici dişlerin kenar poziyonu ve şekli gülüş tasarımında iyi bir sonuç elde etmenin önemli belirleyicilerindendir, ve dijital gülüş dizaynında ilk ayarlanacak unsurlardandır çünkü bir kez ayarlandığında, uygun diş oranına ve dişeti seviyelerine karar vermek için bir referans noktası görevi görür. Üst kesici dişleirn kenar pozisyonunun belirlenmesine yardımcı olmak için kullanılan parametreler:
1. gülümseme esnasında dişin görünme oranı,
2. fonetik
Dişin görünme derecesi: Ağız serbest ve hafifçe açık olduğunda, maksiller santral ( ön)kesicinin insizal üçlüsünün 3,5 mm'si genç bir kişide görülebilir olmalıdır. Yaş arttıkça kas tonusundaki düşüş nedeniyle bu oran düşer.
Fonetik: Fonetik, diş uzunluğunun önemli bir belirleyicisidir. Dolayısıyla gülüş tasarımında uygun diş uzunluğunun belirlenmesi için diğer unsurların yanında fonetik te dikkate alınmalıdır. Sonuçta hiçi bir hasta çok güzel gözüken dişlere sahip olup fakat bazı sesleri çıkarmada zorluk çekmeyi istemez. Fonetik egzersizler sırasında hastanın dik oturması veya ayakta durması gerekir. Kullanılan çeşitli fonetikler aşağıdaki gibidir:
? M sesi: Telaffuzdan sonra, dudaklar normal dinlenme pozisyonuna döner ve diş göstergesinin dinlenme pozisyonundaki miktarının değerlendirilmesine olanak tanır.
? E sesi: “E” sesi sırasında üst çene kesici kenar konumu üst ve alt dudak arasında orta mesafelerde konumlandırılmalıdır.
? F ve V sesleri: Sürtünme sesleri, üst keser dişler kenarın alt dudakların vermilyon sınırının iç kenarı ile etkileşimi ile üretilir. Böylece, sürtünme sesleri, maksiller dişlerin labiolingual pozisyonunu ve uzunluğunu belirlemeye yardımcı olur.
? S sesi: Telaffuz sırasında, mandibular merkezi kesici dişler maksiller kesici kenarın 1 mm arkasına ve 1 mm altına yerleştirilir.
Doğru kesici kenar pozisyonu çok önemlidir çünkü kesici eğimi dudak konturu, dudak desteği, anterior rehberlik, lingual kontur ve diş görünümü ile ilişkilidir.
c.Diş boyutları
Doğru diş oranı yüz morfolojisi ile ilgilidir ve estetik açıdan hoş bir gülümseme oluşturmada önemlidir. Ön santral dişler bu açıdan bakıldığında gülüş estetiğinde baskın dişlerdir ve uygun oranda olması arzu edilir. Santral kesiciler gülümsemenin anahtarıdır. Üst santral kesici dişlerin oranları estetik ve matematiksel olarak doğru olmalıdır. Üst santral kesicilerin genişlik / uzunluk oranı yaklaşık 4: 5 (0,8-1,0) olmalıdır; uzunluklarının% 75-80'i genişlikleri için en çok kabul edilebilir orandır. Santral kesici dişlerin şekli ve konumu, lateral ve köpek dişlerinin görünümünü ve yerleşimini etkiler ve belirler. Estetik açıdan hoş bir gülümseme için doğru diş boyut oranları oluşturmak için çeşitli yönergeler kullanılabilir ;
1. Altın oran (Lombardi),
2. tekrarlayan estetik diş oranları (Ward),
3. M oranları (Methot) ve
4. Chu’nun estetik rehberlikleri.

Altın Oran: Altın oran (Lombardi): Her ön dişin genişliği bitişik dişin genişliğinin% 60'ıdır (matematiksel oran 1.6: 1: 0.6'dır)
d.Zenith Noktası
Zenith noktası dişin diş eti kavsinin en derin noktasıdır. Dişin uzun ekseninin hafifçe distalinde bulunur. Zirve noktalarının doğru konumunun belirlenmesi, mezial ve distal boyutların değiştirilmesinde kritik bir adımdır.
Gülüş estetiğinde diastema yani diş arası boşlukların kapatılmasında , gövdesel diş hareketinde, diş açılarının düzeltilmesinde çok dikkat edilmelidir. Özellikle simetrik dişlerde uyumlu olmalıdır.
e. Diş Eğimleri
Santral dişlerden kanin dişlere doğru hafifçe artmalıdır. Santral dişlerde en az dikkat çekmeli posteriora doğru biraz belirginleşmelidir. İnsizal düzlem eğilirse ön dişlerin ve orta hattın eksensel eğimi de buna uygun olarak yanlış olacaktır. Bunun değerlendirilmesi en güzel bir ekartörle okluzyon halinde alınan fotoğraflarla olacaktır.
f.Dişlerin birbirleriyle temas alanları
Proksimal temas alanı (ICA): İki bitişik dişin temas ettiği geniş bölge olarak tanımlanır. Maksiller merkezi kesici ile ilgili olarak 50:40:30 kuralı uygundur.

ICA nın artması uzun dişlerin daha estetik gözükmesi için bir ilüzyon sağlar. Aynı zamanda gülüş estetiğini bozan siyah üçgen görünümünü azaltmaya yardımcıdır.
ICP is interproksimal kontak noktasıdır.
g.Cinsiyet, kişilik ve yaş
Üst kesici dişlerin uzunluk, şekil ve konumlarındaki küçük farklılıklar bile dramatik değişikliklere neden olur
? Yaş - maksiller merkezi kesici diş ilişkisi
Genç dişler: yıpranmamış insizal kenar,belirgin insizal embrasure , parlak ve canlı görünüm
Yaşlı dişler: daha kısa; böylece daha az gülümseme ekranı, minimal insizal embrasure, mat
? Seks - maksiller kesici diş ilişkisi
Kadın formu: yuvarlak pürüzsüz, yumuşak hassas
Erkek formu: küboidal, sert kuvvetli
? Kişilik - maksiller köpek dişi ilişkisi
Sivri uzun :Agresif, düşmanca öfkeli yumarlak hatlı kısa pasif, yumuşak bir kişilik özelliği kazandırır
h.Simetri ve Denge
Simetri, birkaç öğenin birbirine göre uyumudur. Bir eksenini iki tarafının benzerliğidir. Merkezde santral dişler bölgesinde çok önemlidir. Merkezden uzaklaştıkça posteriorda önemi azalır. Ama kesici dişler bölgesinde uzunluk, genişlik, zenith noktaları simetrik dişlerde iyi bir gülüş estetiği için aynı tasarlanmalıdır.
? Statik simetri: ayna görüntüsü, maksiller merkezi kesici dişler
? Dinamik simetri: çok benzer ancak özdeş olmayan iki nesnede bahsedili. Laterallerde ve köpeklerde kusurlarla oynamak daha hayati, dinamik, eşsiz ve doğal bir gülümseme sağlar.
Gülüş Tasarımının Yumuşak Doku Bileşenleri
Diş Eti Sağlığı
Dişler ne kadar güzel olursa olsun diş etleri sağlıksız ve düzensiz ise gülüş estetiği olumsuz etkilenir. Diş etlerini güzel bir tablonun çerçevesi gibi düşünmek lazım. Tabloyu gösteren çerçevedir.
Dişeti dokularının herhangi bir tedaviye başlamadan önce tam sağlık durumunda olması büyük önem taşımaktadır. Sağlıklı diş eti genellikle soluk pembe, gül kurusu renkli, benekli, sağlam ve mat bir yüzey sergilemelidir.
Diş Eti Seviyesi ve Uyumu

Güzel bir gülüş oluşturmanın anahtarı her bir diş için doğu bir diş eti seviyesi oluşturmaktan geçer. Servikal gingival seviye santral dişler için simetrik olmalıdır. Aynı zamanda kanin dişler ile eşleşmelidir. Lateral dişler için gingival marjin santral dişlerden 0.5-2 mm aşağıdadır. Lateral dişler için en az arzu edilen diş eti seviyesi kanin ve santral dişlerin apikalinde kalmasıdır.
Alt çene kesici dişler ve maksiller lateraller üzerindeki dişeti şekli, simetrik bir yarım oval veya yarım dairesel şekil göstermelidir. Üst çene santal ve köpek dişleri daha eliptik bir diş eti şekli sergilemelidir. Böylece, daha önce bahsedildiği gibi, gingival zenit, maksiller santral ve köpeklerin uzun ekseninin distalinde bulunur ve maksiller yan kesici dişlerin uzun ekseni boyunca çakışır. Bilgisayarlı gülüş tasarımda diş eti seviyeleri belli programlar dahilinde computerize edildiğinde diş eti seviyeleri daha net değerlendirilebilir.
Burada yeri gelmişken bilgisayarlı gülüş tasarımından bahsetmek istiyorum. Bazı meslektaşlarımızın sosyal hesaplarında, Bilgisayar ya da dijital kelimerinin hastalar üzerinde uyandırdığı daha bilimsel ve başarılı olacağı beklentisini de kullanarak çokça bilgisayarlı gülüş dizaynı, dijital gülüş tasarımı, bilgisayarlı dijital gülüş tasarımı gibi bu kelimeleri bir çok farklı kombinasyonda kullandıklarını görüyoruz. Benim fikrim bu konuda ciddi programlar olmasına rağmen tek başına bir program asla ve asla gülüş tasarımında yeterli olamaz. Makalemizde de belirttiğimiz gibi gülüş tasarımın da plan yapabilmenin ve başarılı olmanın bir çok farklı parametresi var.
Yine konu dağılmışken hastalarımızın sıkça sorduğu soruların başında yer alan . Hocam gülüş tasarımının ücreti nedir? Ankarada gülüş dizaynı ya da dijital gülüş tasarımı ne kadar?.Gülüş tasarımı fiyatları nedir? Gibi çokça telefon ve mesaj sorularına maruz kalıyoruz. Ücret konusun da hastalarımıza şunu söyleyebilirim ki . Telefonda ya da mesajda 100 TL de desem 2000 TL de 10.000 TL de desem boş. Bu ve diğer tüm dental tedavilerde sağlıklı bir fiyat bilgisi alabilmeniz için diş hekiminize muayene olmalısınız net.
Gülümseme Çizgisi
Gülümseme çizgisi gülümserken üst çene ön dişlerin kesici kenarları boyunca, alt dudağın üst sınırının eğriliğini taklit etmesi gereken hayali bir çizgiyi ifade eder. Gülümseme çizgisi için başka bir referans ise santral dişlerin insizal düzlem boyunca köpek dişlerinden biraz daha uzun veya en azından daha kısa görünmemesi gerektiğini yönündedir.
Dudak çizgisi gülümseme çizgisiyle karıştırılmamalıdır. Dudak çizgisi gülümseme oluşumu sırasında üst dudağın alt kenarının pozisyonunu ifade eder. İdeal koşullar altında, dişeti kenarı ve dudak çizgisi uyumlu olmalıdır. Diş etinin 3-4 mm den fazla gözükmesi gummy smile olarak adlandırılır. Bireysel diş morfolojisi de ayrıca doğayı taklit etmek zorundadır.
Sonuçta başarılı bir gülüş tasarımında meydana çıkardığımız gülümsemenin estetik açıdan çekici ve işlevsel olarak sağlam olması gerekir. Yazımızda tartıştığımız tüm faktörleri dikkate alarak hastalarımızı en iyi şekilde teşhis etmek, analiz etmek ve sunmak bizim görevimizdir. Yaptığımız gülümseme tasarımı mümkün olduğunca yapıcı olmalı. Amacımız, dişin doğal yapısıyla en az oynayarak en estetik ve fonksiyonel sonucu elde etmek olamlıdır. Bu da sadece kozmetik diş hekimliğinin diş hekimliğin diğer dallarıyla birlikte çalışması anlamına gelir, burada ortodonti, periodontolojik, cerrahi prosedürler gibi tüm tedaviler gerektiğinde yapılmalıdır.
Dr.Enver Akın Özkan Ankara Ortodonti ve Estetik Diş Hekimliği, Gülüş tasarımı


Detaylı Bilgi ve Randevu Talebiniz İçin